Un éventail large de procédure chirurgicale est réalisée à la clinique. De la chirurgie générale pratiquée par la majorité des vétérinaires de la clinique à la chirurgie plus spécifique, réalisée par les Dr Gossot et Malric.
Nous pratiquons la chirurgie neurologique, traumatologique, orthopédique, thoracique, abdominale, carcinologique, cutanée.
Pour chaque chirurgie une anesthésie gazeuse adaptée à l’état de santé de l’animal est pratiquée sous surveillance continue par monitoring complet (ECG, capnographie, oxymètre de pouls).
Les chirurgies le nécessitant sont réalisées sous ventilation mécanique assistée.
Chirurgie générale:
La chirurgie générale englobe toutes les chirurgies ne nécessitant pas l’intervention d’un chirurgien spécialisé.
On retrouve principalement:
– les stérilisations
– les soins dentaires (éxérèse de dents/détartrage)
– les exérèses de tumeurs mammaires, de masses, les biopsies
– certaines chirurgies abdominales (splénectomie, cystotomie, entérotomie)

Les obstructions de l’appareil urinaire sont fréquentes chez le chien et le chat. Qu’il s’agisse de calculs, de sténose ou de tumeur, la levée de l’obstruction est très souvent une urgence.
Nous pratiquons les cystotomies, urétrotomie, urétrostomies.
Mais nous posons également des dispositifs plus innovants comme le SUB (Subcutaneous Ureteral Bypass) permettant de dériver le rein obstrué chez le chat.
L’évaluation de l’appareil urinaire a pu être fait au préalable par endoscopie ou scanner (cf paragraphes correspondants)

Exemple d’affection nécessitant une ouverture thoracique :
– Persistance du canal artériel (Ductus Arteriosus) : anomalie congénitale cardiaque nécessitant la ligature précoce du vaisseau anormal afin de rétablir une fonction cardiaque normale.
– Tumeur ou abcès pulmonaire : le retrait d’un lobe pulmonaire ou fragment de lobe pulmonaire (lobectomie partielle ou totale) peut être nécessaire. Désormais elles sont pratiquées avec des agraffeuses chiurgicales spécifiques ce qui raccourcit considérablement le temps de chirurgie et limite les complications.
– Pyothorax : Infection de la cavité thoracique entrainant fièvre et insuffisance respiratoire. Le pyothorax est souvent causé par l’inhalation de corps étranger (épillet).

Les plaies étendues ou les tumeurs volumineuses sont fréquentes chez le chat et le chien. Elles peuvent conduire à de grandes surfaces de perte de substance cutanée, avec des soins lourds.
Des techniques de reconstruction cutanées existent :
– Plasties
– Lambeaux
– Greffes
et permettent de raccourcir le temps de cicatrisation tout en améliorant le confort et le résultat esthétique.

Les tumeurs sont une cause très fréquente de consultation chez l’animal.
Bénignes ou malignes, elles nécessitent souvent d’être retirées chirurgicalement.
Il est nécessaire de respecter des règles de chirurgie carcinologique : – chirurgie atraumatique,
– marges d’exérèse suivant la nature de la tumeur,
– reconstruction cutanée si nécessaire, etc…

Chez l’animal domestique et plus particulièrement chez le chien, l’affection neurologique la plus fréquente est la hernie discale aigüe. Elle peut entrainer des symptômes grave d’évolution très rapide (quelques heures), allant d’une douleur extrêmement vive à une paralysie de 2 ou 4 membres. Prise en charge rapidement, la majorité des hernies discales est de très bon pronostic.
Le diagnostic passera le plus souvent par un scanner de la colonne vertébrale.
Le traitement chirurgical d’une hernie discale est la décompression de la moelle épinière par forage osseux (hémilaminectomie, foraminotomie, corpectomie).
L’animal est ensuite hospitalisé pour une prise en charge de la douleur post-opératoire et pour la mise en place de la rééducation fonctionnelle

Les affections orthopédiques du chien et du chat sont nombreuses : rupture du ligament croisé, luxation de rotule, anomalies articulaires de type dysplasie, ostéochondrose, entorse ou luxation…
Elles peuvent nécessiter une prise en charge chirurgicale ou une gestion médicale, les indications sont évaluées lors d’une consultation.
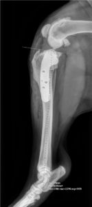
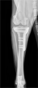
Les traumatismes des membres sont fréquents : chat qui chute d’un balcon, chien heurté par une voiture, accident de chasse, etc… Beaucoup de fractures nécessitent un traitement chirurgical (ostéosynthèse par broche ou plaque par exemple), rare sont les fractures sur lesquelles un plâtre ou une résine peuvent être posées.

Affection touchant quasi exclusivement le chien, la migration de corps étrangers de type épillets peut provoquer des abcès profonds, dont la localisation peut être problématique. Fréquemment ces corps étrangers peuvent provoquer des abcès pulmonaires, des pyothorax (infection thoracique), des abcès sous-lombaires (avec infection vertébrale), etc…
Grâce au scanner qui améliore beaucoup la précision de la recherche du corps étranger, nous pratiquons de nombreuses interventions sur ces abcès profonds. Les corps étrangers sont localisés en cours de chirurgie grâce à de l’échographie per-opératoire, permettant de réduire les risques et le délabrement musculaire.
Dans l’espèce canine l’arthrose est extrêmement fréquente.
Elle est consécutive soit à l’âge, soit à des pathologies articulaires comme les dysplasies du coude ou de la hanche, la rupture du ligament croisé, et beaucoup d’autres…
L’arthrose est souvent vécus comme une fatalité par les propriétaires d’animaux âgés : « il bouge moins maintenant mais n’est normal, il est vieux ».
Pourtant il existe des traitements, qu’ils soit médicamenteux ou hygiéniques qui permettent d’améliorer considérablement la qualité de vie, voire de redonner une seconde jeunesse à un chien âgé.